
En implantat er en mulighed, hvis du mangler én eller flere tænder.
Næsten alle kan få foretaget implantatbehandlinger – unge såvel som ældre. Der kan dog være forhold hos den enkelte, der gør, at en implantatbehandling ikke altid er en god løsning. En grundig undersøgelse hos tandlægen vil derfor afgøre, om det er den rette behandling for dig. Selvom behandlingen er omfattende og tidskrævende, kan et implantat være en fordelagtig behandling, da den ikke involverer andre tænder i munden.
Et implantat er en kunstig tandrod, der indsættes i kæbeknoglen. Implantatet er fremstillet af titanium, som kan vokse fast i kæben. Implantatet, der har form som en skrue, er normalt 3-5 mm tykt og 8-16 mm langt. Denne titaniumskrue opereres ind i kæbeknoglen. Implantatet vokser i løbet af nogle måneder sammen med knoglen og sidder derefter fast.
Når implantatbehandlingen er afsluttet, bør du fremover komme regelmæssigt til kontrol. I den forbindelse vil tandlægen også kontrollere og eventuelt justere din mundhygiejne.
Det er vigtigt, at tandkød og forlængerstykker holdes rene. Går der betændelse i tandkødet, er der risiko for, at implantatet går løs.

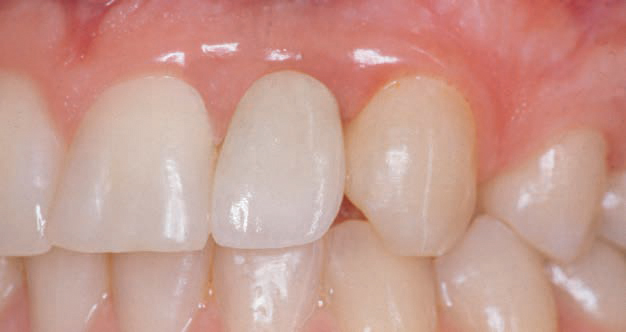
Implantatet, der skal være med til at erstatte den manglende tand, er sat på plads.

Porcelænskronen er sat fast på implantatet. Tandrækken er nu intakt.
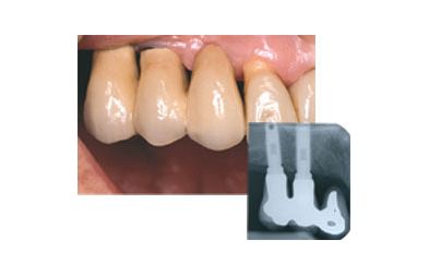
Der kan isættes to eller flere implantater. Disse fungerer som kunstige tandrødder, hvorpå der kan sættes en bro.


Broen sidder fast, og der er igen tænder at tygge med.
Det er også muligt at skrue en bro med 8-10 tænder fast på 4-6 implantater. Dette vil fungere som dine egne fastsiddende tænder.
Man kan endvidere sætte særlige tryklåse på en helprotese, der låser sig fast på 2-4 implantater i kæben.

Helprotese med tryklåse til implantater i underkæben.
A: Først skal der tages røntgenbilleder.
B: Så skal der tages aftryk til fremstilling af gipsmodeller af dit tandsæt.
C: Derefter bliver implantatet opereret ind. Tandlægen lægger et snit i tandkødet og borer gennem denne åbning et lille hul i kæbeknoglen (se illustration 1). Implantatet skrues derpå ind i hullet, og tandkødet sys sammen hen over implantatet (se illustration 2).
Du vil som regel kun opleve få og små gener efter operationen, som foregår i lokalbedøvelse.
D: I de fleste tilfælde vil tandlægen nu lade implantatet hele i 2-3 måneder, så kæbeknoglen og implantatet kan vokse sammen. Du skal til regelmæssig kontrol på klinikken i denne periode.
E: Under lokalbedøvelse blotlægges toppen af implantatet, og der skrues et lille forlængerstykke fast, som stikker ud gennem tandkødet (se illustration 3).
F: Tandlægen tager nu aftryk til den krone eller bro, som skal genskabe tandsættet. Kronen eller broen sættes fast på forlængerstykket, hvormed implantatbehandlingen er afsluttet (se illustration 4 og 5).
G: Du får grundig instruktion i, hvordan implantatet holdes rent. God mundhygiejne er en forudsætning for et holdbart resultat. 
    
Når implantatbehandlingen er afsluttet, bør du fremover komme regelmæssigt til kontrol. I den forbindelse vil tandlægen også kontrollere og eventuelt justere din mundhygiejne.
I de senere år har man forsøgt at indsætte implantater lige efter, at en tand er fjernet, ligesom man har forsøgt at sætte en bro på implantaterne umiddelbart efter, at de er indsat. Det lykkes også i de fleste tilfælde, men der er dog en øget risiko for, at noget går galt.
I hvert enkelt patienttilfælde vurderer tandlægen derfor de faktorer, som kan påvirke behandlingen. Ofte vælger tandlægen at bruge den beskrevne behandlingsmetode (se A-G), med mindre det er meget vigtigt, at tanden bliver hurtigt erstattet.





Det er vigtigt, at tandkød og forlængerstykker holdes rene. Går der betændelse i tandkødet, er der risiko for, at implantatet går løs.
Normalt skal du børste din nye tand, som du børster dine naturlige tænder. Mellemrummene skal også holdes rene. Det kan du fx gøre med tandtråd eller en mellemrumsbørste (miniflaskerenser).
Der er forskel på de nye tænder og de naturlige tænder. Derfor er der også brug for en særlig børsteteknik for at holde de nye tænder rene.
Proteserne, som kan tages af ud af munden, holdes på plads på implantaterne ved hjælp af forskellige tryklåssystemer – enten en såkaldt barre eller en kugle.
Selvom protesen kan tages ud, skal du holde protesen ren, så du undgår betændelse i gummen og tandkødet. Brug koldt vand og almindelig håndsæbe eller evt. tandpasta, som dog ikke må være kraftig slibende. Specielle protesebørster gør det let at holde protesen ren både udvendigt og indvendigt.
Spørg din tandlæge, hvad du skal bruge for at gøre rent, og hvordan du bedst holder rent.
Tobaksrygning øger risikoen for, at implantatet ikke vokser fast, og at det senere falder ud.
I sjældne tilfælde vokser implantatet ikke fast, eller kroppen afstøder det. Sker dette, fjerner tandlægen implantatet. Hullet i kæben vokser sammen i løbet af nogle måneder, hvorefter tandlægen kan indsætte et nyt implantat på samme sted.
Du kan få betændelse omkring implantater, som gør, at implantatet kan mistes. Det er derfor meget vigtigt, at implantatet børstes og holdes rent.
Kronen på implantatet kan blive slidt, eller noget af kronen kan brække af. Derfor er det også vigtigt, at både dine implantater og kronen, broen eller protesen kontrolleres minimum hvert halve år. Tandlægen kan dermed ofte forebygge, at der sker skader.
De seneste års undersøgelser viser, at ca. 95 procent af alle implantatbehandlinger stadig fungerer efter ti år.