
En dentininfraktion er en revne i tandbenet (dentinen) inde under emaljen, der ikke kan ses udefra, og som kan få tanden til at gøre ondt. Det kan være svært for både dig selv og tandlægen at finde ud af, hvilken tand det er galt med. Mange mennesker har revner i emaljen, som kan ses på tændernes overflade, men disse volder normalt ikke problemer.
Nogle tænder med revner kan du ikke mærke. Men når en tand med revne begynder at gøre ondt, vil du mærke en smerte, når du tygger sammen på noget hårdt eller sejt, eller når du slipper sammenbiddet, fx hvis du bider i en brødkerne eller en karamel.
Det kan også gøre ondt, når der kommer noget koldt på tanden. Der kan gå uger eller måneder imellem, at smerten udløses, fordi du uvilkårligt vil undgå at tygge med den tand, der har en revne. Det er ofte svært at udpege, hvilken tand det drejer sig om.

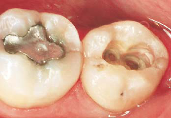
Tilsyneladende sunde tænder med mindre fyldninger. Den ene gør ondt engang imellem, når der tygges på noget hårdt eller sejt.

Når fyldningen er væk, ses en tydelig revne i tandbenet.
Udefra ser tanden sund og rask ud. Der er ofte en fyldning i tanden, men tandlægen kan ikke se revnen, før fyldningen er fjernet - heller ikke på et røntgenbillede. En bideprøve med en særlig bidepind kan ofte afsløre, hvilken tand det drejer sig om. Lykkes det ikke at finde revnen på denne måde, vil tandlægen i nogle tilfælde se tiden an og opfordre dig til at være opmærksom på, hvilken tand det gør ondt i, når du tygger, eller når der kommer noget koldt på. Hvis du har mange smerter, kan tandlægen fjerne fyldningen i den mest mistænkte tand for at søge efter revnen.
Der er flere årsager til, at tænder kan revne. Først og fremmest skyldes det, at tænderne kan blive svækkede efter mange års brug. Man siger, at revner er en form for træthedsbrud i tanden.

En revne kommer der, hvor tanden er svagest. Det sker oftest i en kindtand, som er svækket, fordi der har været caries i tanden. Jo større fyldningen er, og jo mindre tandsubstans der er tilbage, jo lettere kommer der en revne. Kun i sjældne tilfælde ses revner i sunde, ubehandlede tænder. Har du allerede én tand med en revne, kan du være disponeret for at få revner i andre tænder.
En revne i en tand kan aldrig hele.
Tandens nerve kan tage skade, så det i visse tilfælde bliver nødvendigt at rodbehandle tanden. En revne kan også føre til, at tanden flækker. Hvis der kun brækker en lille del af tanden, kan den bygges op igen. Men flækker hele tanden, skal den trækkes ud.
Mange mennesker har revner i tænderne uden at vide det og uden nogensinde at få problemer med dem. Men begynder en tand at gøre ondt, skal den behandles.
Når tandlægen har lokaliseret revnen, er målet med behandlingen at stabilisere tanden, så revnen ikke giver sig, når du tygger. Har der kun været en lille fyldning i tanden, kan tandlægen lime den sammen med en plastfyldning og beslibe tyggefladen, så den svage del af tanden ikke belastes for hårdt. Det er i nogle tilfælde tilstrækkeligt til at behandle revnen.
Har der været en stor fyldning i tanden, eller er tanden kraftigt belastet ved tygning, er det nødvendigt at omslutte tanden med fx en krone af metal eller porcelæn for at holde den sammen.
Har tandnerven taget skade, skal tanden rodbehandles, før den endelige behandling udføres. I enkelte tilfælde kan revnen være så uheldigt placeret, at tanden flækker helt, måske endda midt i behandlingsforløbet. I det tilfælde er der kun én løsning; nemlig at trække tanden ud.
Har du en tand med en revne, der gør ondt, må du have tålmodighed og indstille dig på, at det kan tage tid og være forbundet med både ubehag og omkostninger, før tanden er færdigbehandlet.
Kontakt din tandlæge, hvis du har mistanke om, at du har en revne i en tand.